吸電子煙5年的年輕人 X光出現1公分肺結節
吸電子煙5年的年輕人 X光出現1公分肺結節
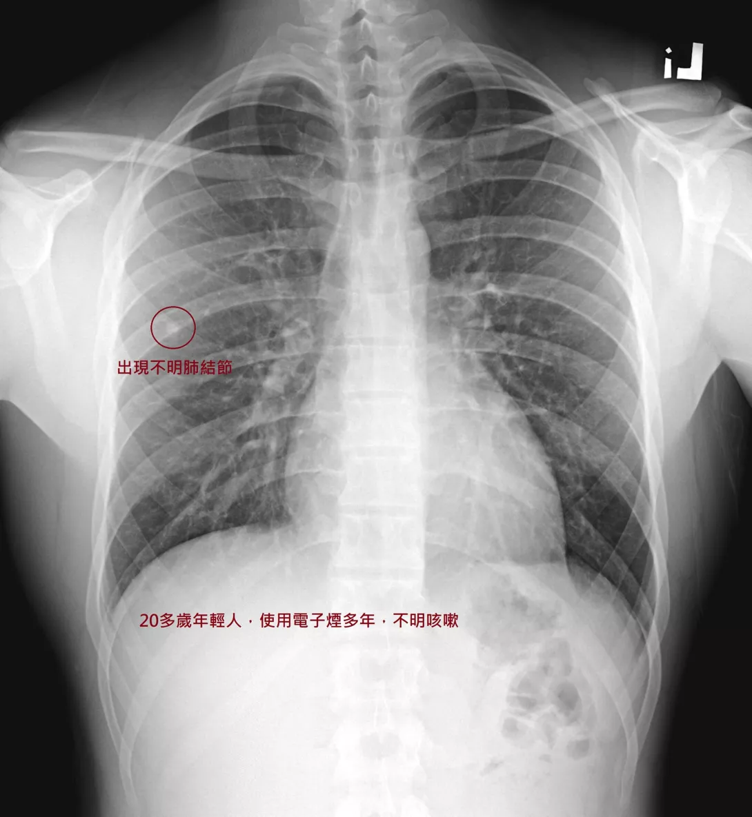
一名20幾歲男子跟著朋友學抽電子煙4、5年,且有不明原因咳嗽,日前因工作健檢,X光發現1顆近一公分大的肺結節,趕緊轉到胸腔科門診處理,並對使用電子煙感到十分後悔。
台北市立聯合陽明醫院胸腔醫師蘇一峰醫師表示,該名年輕男性患者的肺結節要後續追蹤,如果長大需考慮開刀切除。
蘇一峰醫師指出,刊登於國際知名醫學期刊《肺癌》(Lung Cancer)的論文透過回顧分析超過100篇論文發現,電子煙會傷害許多細胞,包含讓細胞失去DNA修復功能,使細胞生長週期失能。電子煙中的重金屬能破壞細胞粒線體的功能、而電子煙所產生的氣溶膠更可以進入肺部深層造成肺部發炎,最後使得DNA斷裂成片段,造成惡性腫瘤。
蘇一峰醫師也提醒,研究對電子煙促進戒菸的證據非常有限,且沒有證據表明尼古丁電子煙的成癮性或有害性低於傳統紙菸。
蘇一峰醫師,最後強調,隨著電子煙的肺部疾病在全世界連環爆,在台灣目前更出現了好幾起電子煙肺損傷的個案,電子煙沒有比傳統紙菸安全,一樣會致癌!
照片

圖片來源:翻攝蘇一峰醫師臉書
資料來源:
蘇一峰醫師臉書:https://www.facebook.com/bsbipoke/posts/4757316507637556
研究資料:Vaping and lung cancer – A review of current data and recommendations https://www.lungcancerjournal.info/article/S0169-5002(20)30758-3/fulltext
*為揭露菸商真面目,扭轉網路充斥菸商扭曲誤導的現況~由國內權威醫師組團隊開設「台灣拒菸聯盟」此專頁。
回應文章建議規則: